FP1 Zirconia vs Resin-Based Restorations: Redefining Strength, Beauty, and Longevity
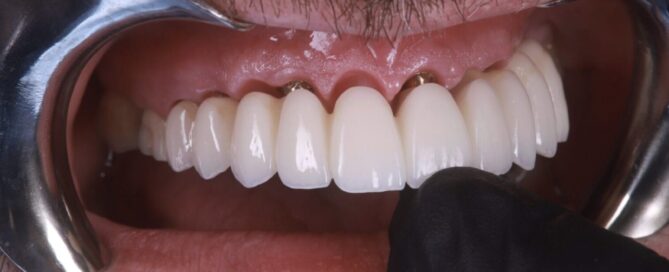
Introduction In modern prosthodontics, FP1 zirconia vs resin-based restorations represent [...]
Introduction In modern prosthodontics, FP1 zirconia vs resin-based restorations represent [...]
Dental Lab at Home: How to Improve Your Smile | [...]
Botox in Dentistry: Pain Relief, Gummy Smile Treatment & Smile [...]